【佳学基因检测】身体颤抖、说话慢还有白化病,基因检测找原因
话不多说,上病例
一名19岁的女孩出生于非近亲婚配家庭,自2013年7月起出现震颤发作。一年后,她的言语和动作明显变慢,因此来到当地神经科就诊。根据病历回顾,神经系统检查显示她手部明显的姿势性和意图性震颤,面部表情少,发音障碍,口渴感缺乏,无法进行交替运动。铜代谢检测确认了威尔逊病(WD)的诊断:血清铜蓝蛋白水平降低(<0.079 g/L;正常范围为0.2–0.6 g/L)。通过神经症状、代谢检测和MRI扫描确认了WD的诊断。开始了D-青霉胺和硫酸锌的治疗。治疗后,患者的姿势性和意图性震颤消失,其他症状和体征明显改善。然而,由于依从性差,患者在治疗一年后停止了治疗。所有神经症状明显加重。因此,她于2016年来到佳学基因检测合作机构。
到达佳学基因合作机构时,神经系统检查显示她手部明显的姿势性和意图性震颤,面部表情减少,构音障碍,口渴感减退,无法进行交替运动,以及共济失调步态。她还表现出畏光、眼球震颤和显著下降的视力。眼部裂隙灯检查显示双侧KF环(见图1)。铜代谢测量确认了WD的诊断:血清铜蓝蛋白水平降低(47.7 mg/L,正常范围为200–420 mg/L),血清铜水平降低(3.3 μmol/L,正常范围为10.5–24.4 μmol/L),尿铜排泄增加(109 μg/24 h)。MRI结果显示基底节、丘脑和脑桥双侧对称高信号影(见图2)。有趣的是,患者的皮肤颜色非常浅,头发和眉毛呈金色,睫毛和虹膜则是深棕色。由于在WD中很少报告与皮肤表现相关的情况,根据临床发现高度怀疑该患者可能存在白化病(白化病(OCA))。因此,佳学基因合作格式建议进行致病基因鉴定基因解码,对她及其家族进行了基因分析。基因研究揭示了ATP7B基因中的一个等位基因存在p.(Arg778Leu)突变,另一个等位基因存在p.(Asn1270Ser)突变,确认了WD的诊断;在酪氨酸酶(TYR)基因中,一个等位基因存在p.(D456fs)突变,另一个等位基因存在p.(R299H)突变,确认了白化病(OCA)的诊断。在住院期间,给予了静脉注射二巯基丙烷磺酸钠(DMPS)治疗。出院后继续维持D-青霉胺和硫酸锌的治疗,以长期控制疾病。她的姿势性和意图性震颤消失,其他症状和体征明显改善。
一名19岁的女孩出生于非近亲婚配家庭,自2013年7月起出现震颤发作。一年后,她的言语和动作明显变慢,因此来到当地神经科就诊。根据病历回顾,神经系统检查显示她手部明显的姿势性和意图性震颤,面部表情少,发音障碍,口渴感缺乏,无法进行交替运动。铜代谢检测确认了威尔逊病(WD)的诊断:血清铜蓝蛋白水平降低(<0.079 g/L;正常范围为0.2–0.6 g/L)。通过神经症状、代谢检测和MRI扫描确认了WD的诊断。开始了D-青霉胺和硫酸锌的治疗。治疗后,患者的姿势性和意图性震颤消失,其他症状和体征明显改善。然而,由于依从性差,患者在治疗一年后停止了治疗。所有神经症状明显加重。因此,她于2016年来到佳学基因检测合作机构。
在对患者进行检测后,对家族病史进行分析显示有威尔逊病(WD),她有一个14岁的弟弟也被诊断为该病。基因分析揭示ATP7B基因中一个等位基因存在p.(Arg778Leu)突变,另一个等位基因存在p.(Asn1270Ser)突变。他的皮肤颜色正常,呈黄色,头发和眼睛为黑色,基因分析还确认他对白化病(白化病(OCA))呈阴性。她的父母均对白化病(OCA)和WD呈阴性。

基因检测前的临床检查:检查显示皮肤非常白皙,金色头发和眉毛,深棕色睫毛和虹膜,双侧有 KF 环。KF 环 = Kayser Fleischer 环。

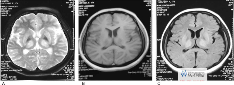
MRI 图像显示 T2 加权图像 (A) T1 加权图像 (B) FLAIR 图像 (C) 中涉及基底神经节、丘脑和脑桥的双侧对称高强度信号。FLAIR = 液体衰减反转恢复,MRI = 磁共振成像。
基因检测在复杂疾病诊断和家庭后代健康中的重要作用
这是佳学基因检测病例中的一名患者同时患有威尔逊病(WD)和白化病(OCA)的案例。根据她的神经精神症状、KF环、代谢检测和MRI扫描,可以印证威尔逊病的诊断。然而,她的浅肤色、深棕色睫毛、金色头发和眉毛与威尔逊病的临床特征不符。在案例中,威尔逊病与皮肤表现的关联很少被报道。肝脏中的铜积累可能导致皮肤发痒和泛黄,而威尔逊病中的其他皮肤变化相对较小,主要包括广泛的色素沉着、指甲蓝色月牙、皮肤松弛、干燥症、黑棘皮病、坏死性脓皮病和波状色素沉着。因此,随后进行了基因分析。
作为威尔逊病致病基因的ATP7B编码铜转运P型ATP酶。大多数ATP7B突变为错义突变、编码区的小缺失或插入,或剪接位点突变。导致外显子8中Arg778Leu替代的2333G→T点突变是东亚患者中最常见的ATP7B突变,等位基因频率为14%至49%。她的基因检测及基因解码揭示了ATP7B基因中一个等位基因存在p.(Arg778Leu)突变,另一个等位基因存在p.(Asn1270Ser)突变,确认了威尔逊病的诊断。
根据她的临床表现,包括非常浅的肤色、金色的头发和眉毛、以及深棕色的睫毛和虹膜,怀疑她患有白化病OCA1。白化病(OCA)是一种因缺乏黑色素生物合成而导致毛发、皮肤和眼睛色素减退的疾病。白化病(OCA)的几个亚型根据其致病突变而得以分类明确,临床表现可以有很大差异。白化病OCA1由位于11号染色体上的TYR基因的突变引起,该基因编码酪氨酸酶。该基因由5个外显子组成,跨越大约65 kb的基因组DNA,编码一个由529个氨基酸组成的蛋白质。该研究中患者的白化病OCA1诊断是因为TYR基因中一个等位基因存在p.(D456fs)突变,另一个等位基因存在p.(R299H)突变。
哺乳动物皮肤和毛发的颜色由多种因素决定,其中最重要的是黑色素沉着的程度和分布。黑色素在称为黑色素细胞的专门色素生产细胞中形成。白化病(OCA)的主要原因在于黑色素生物合成功能障碍。黑色素生成中最重要的酶是酪氨酸酶,它在表皮、毛囊和卵母细胞中表达,催化黑色素生物合成的前两个限速步骤。有趣的是,酪氨酸酶被普遍认为是一种多功能的铜依赖性糖酶。威尔逊病患者在大多数器官,尤其是肝脏和大脑中表现出过量的铜积累,但在这种过量铜的环境中,酪氨酸酶无法正常完成黑色素生物合成。我们的研究结果显示299个氨基酸的空间分布明显变化,且酪氨酸酶结构域的铜结合能力消失。
梅克斯综合征可能是该患者的重要鉴别诊断。梅克斯综合征是一种X连锁隐性遗传病,由编码铜转运蛋白ATP7A(位于Xq21.1染色体上)的基因突变引起,导致铜缺乏。梅克斯综合征的临床表现包括神经系统退化、卷曲头发和发育延迟,这与该患者的情况不符。
威尔逊病的治疗包括控制饮食,避免高铜食物,以及螯合疗法(如D-青霉胺和硫酸锌)。根据患者的病史,这些治疗对她是有效的。如果不治疗,威尔逊病往往会逐渐加重,最终致命。大多数患者在早期检测和治疗后能够过上相对正常的生活。白化病(OCA)的治疗包括从婴儿期开始严格防晒、早期全面眼科检查,以及用眼镜或隐形眼镜矫正屈光不正。虽然非综合征性白化病(OCA)的寿命不受影响,但某些人群中皮肤癌的死亡率可能会增加。由于皮肤癌风险增加,白化病(OCA)患者应在青少年期开始每6至12个月进行皮肤检查。
威尔逊病和白化病都是由不同染色体上的突变引起的罕见常染色体隐性遗传病。我们在此报告了第一例同时出现威尔逊病和白化病的患者,这为这两种罕见疾病之间可能的联系提供了新的思路。基因检测在复杂疾病的诊断和家族后代健康管理中具有重要的帮助作用,不仅能够明确疾病的遗传背景,还能指导临床治疗和家族规划。
基因检测病例特点:威尔逊病与白化病的共存
威尔逊病(WD)和皮肤眼睛白化病(OCA)是由不同染色体上的突变引起的罕见常染色体隐性遗传病。我们在此报告一名同时患有威尔逊病和白化病的患者,最初表现为震颤发作。
为什么要进行检测?
威尔逊病是一种铜代谢障碍,主要导致肝脏和大脑内的铜积累,进而出现肝脏症状。白化病则是黑色素生物合成障碍,表现为眼睛、皮肤和毛发的色素普遍减少。
检测前的临床诊断证据
通过神经症状、代谢检测和MRI扫描确认了威尔逊病的诊断。有趣的是,该患者还表现出非常浅的肤色、金色的头发和眉毛,以及深棕色的睫毛和虹膜。由于文献中很少报告威尔逊病与皮肤表现的关联,基于这些临床发现,高度怀疑她患有白化病。随后进行了基因分析,结果显示ATP7B基因中一个等位基因存在p.(Arg778Leu)突变,另一个等位基因存在p.(Asn1270Ser)突变,确认了威尔逊病的诊断;同时,TYR基因中一个等位基因存在p.(D456fs)突变,另一个等位基因存在p.(R299H)突变,确认了白化病的诊断。家族史显示她有一个14岁的弟弟也被诊断为威尔逊病,而父母均未患有OCA或WD。
患者所采用干预措施
在住院期间,给予了二巯基丙烷磺酸钠(DMPS)治疗。出院后开始使用D-青霉胺和硫酸锌进行长期控制。
基因检测后的治疗结果
经过治疗后,患者的姿势性和意向性震颤消失,其他症状和体征明显改善。
经病例对基因检测的影响
本病例报告了一例同时出现威尔逊病和白化病的儿童,提出了这两种罕见疾病之间可能存在联系的假设。
身体颤抖、说话慢还有白化病,基因检测找原因关键词
铜,黑色素合成,皮肤眼睛白化病,威尔逊病
人体疾病表征及其基因原因数据库
威尔逊病是一种罕见的常染色体隐性遗传铜代谢障碍,全球约每30,000人中就有1人出生时患有此病。男女均可能受到影响。威尔逊病蛋白(ATP7B)基因的突变导致铜无法与血浆铜蓝蛋白结合并释放到血液中,造成体内铜积累。铜的主要积累部位为肝脏和大脑,导致肝脏症状如呕吐、乏力、腹水、四肢水肿、皮肤瘙痒和泛黄。神经精神症状包括震颤、言语困难、肌肉僵硬、焦虑和性格变化。KF环是威尔逊病的特征性体征,由于铜沉积在德斯梅膜中形成,约66%的患者会出现KF环。当患者出现上述症状时,通常怀疑威尔逊病。血液中的铜蓝蛋白和铜水平以及尿中铜的排泄量常用于评估体内铜的积累情况。脑部的MRI检查通常会发现基底节区的高信号。尽管没有完全可靠的威尔逊病诊断测试,但肝活检和基因分析是理想的确认方法。
皮肤眼睛白化病是一组常染色体隐性遗传的黑色素生物合成障碍,特征是眼睛、皮肤和毛发的色素普遍减少。OCA的几种亚型是由多个基因的突变引起的,整体发生率约为每20,000人中就有1人。白化病患者通常会出现视力问题,如视力锐度降低和光敏感。快速、非自愿的眼球运动(眼震)有时也会被观察到。威尔逊病和白化病都是单基因、常染色体隐性遗传病,身体颤抖、说话慢还有白化病,基因检测找原因报告一名患者同时患有这两种疾病的案例。身体颤抖、说话慢还有白化病,基因检测找原因在此分享了这一患者的情况。
(责任编辑:佳学基因)